Escoliosis y Pilates: ¿funciona? ¿es recomendable?
Lo que necesitas saber si tienes la espalda desviada (y quieres hacer algo al respecto)
¿Te han dicho que tienes escoliosis y no sabes si el Pilates para escoliosis es una opción segura para ti?

El Pilates para escoliosis es una de las dudas más frecuentes entre personas a las que les han dicho que tienen la espalda desviada y no saben si pueden hacer ejercicio con normalidad.
La mayoría de personas con escoliosis reciben un diagnóstico…pero muy poca información práctica sobre cómo cuidarse en el día a día.
Muchos acaban evitando el movimiento por miedo a empeorar la desviación.
Otros, en cambio, se lanzan a hacer “de todo” sin saber si realmente les está ayudando o perjudicando.
Como fisioterapeuta especializada en Pilates clásico, y con años más de 16 de experiencia en el estudio, te lo puedo decir con claridad:
Sí, puedes practicar Pilates con escoliosis.
Y sí, puede ayudarte mucho…pero necesitas hacerlo con método.
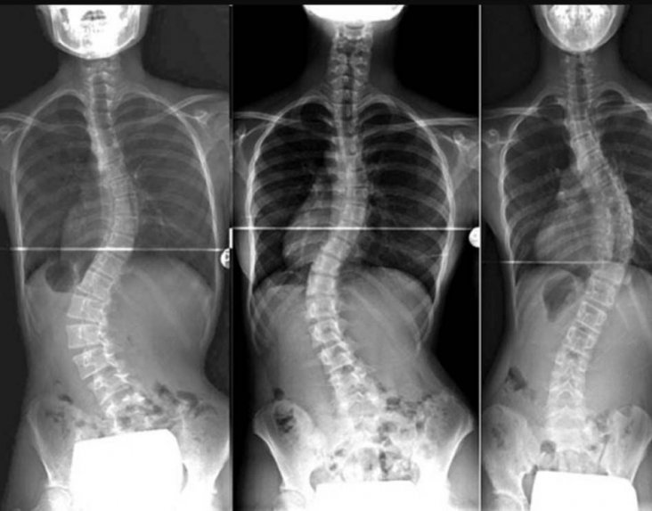
¿Qué es exactamente la escoliosis?

La escoliosis es una desviación lateral de la columna, acompañada normalmente por una rotación de las vértebras.
Puede ser:
- Estructural (de origen idiopático o genético),
- Funcional (asociada a desequilibrios musculares o posturales),
- O una mezcla de ambas.
Cada caso es distinto: algunas personas tienen curvas muy pronunciadas, otras apenas visibles, algunas tienen dolor; otras, no.
Por eso, no hay un único enfoque válido para todo el mundo.
¿Qué puede aportar el Pilates para escoliosis desde el método clásico?

Lo primero que quiero dejar claro es esto: el Pilates no “corrige” la escoliosis estructural. No es un tratamiento ortopédico ni una solución mágica.
Pero sí puede ayudarte a:
✔️ Fortalecer el lado débil,
✔️ Liberar tensión del lado acortado,
✔️ Mejorar tu alineación funcional,
✔️ Y, sobre todo, aumentar la conciencia corporal y el control del movimiento.
El Pilates clásico para escoliosis no se basa en repetir ejercicios genéricos, sino en adaptar el método a la estructura y necesidades de cada columna.
La escoliosis es una condición tridimensional.
Por eso, no basta con “fortalecer la espalda” o “hacer estiramientos”, hay que entender cómo se mueve tu columna, cómo responde tu pelvis, tu respiración, tu powerhouse (centro abdominal)…
Y ahí es donde el Pilates clásico, con su enfoque en el centro, la simetría dinámica y el control, ofrece una herramienta real para mejorar cómo te mueves y cómo te sientes.
¿Cómo trabajamos en Discla Pilates® con personas con escoliosis?

Cuando alguien llega a Discla Pilates® con escoliosis, no miramos solo su columna, miramos a la persona entera: su cuerpo, su historia, sus sensaciones, su nivel de actividad y su confianza en el movimiento.
Por eso, lo primero que hacemos es un historial detallado, donde analizamos:
- el tipo de escoliosis que tiene,
- si hay dolor o limitación,
- qué compensaciones aparecen al moverse,
- y qué objetivos personales tiene.
Con esa información en cuenta, si es necesario adaptamos cada ejercicio, con el objetivo de que cada persona se vaya mejor de la clase de lo que vino. Menos dolor, más movilidad, más salud.
- Empezamos por trabajar la conciencia corporal: qué lado está más activo, cuál necesita más control,
- Activamos el centro y estabilizamos la pelvis con ejercicios de suelo y máquinas,
- Corregimos asimetrías desde la respiración, el alargamiento axial y el trabajo muscular equilibrado,
- Y progresamos poco a poco, sin forzar, respetando la estructura de cada cuerpo.
Lo más importante: no buscamos la “columna perfecta”, sino la mejor versión funcional de cada persona.
¿Merece la pena practicar Pilates si tengo escoliosis?
Sí. Y no lo digo solo como fisioterapeuta, sino como profesional que ha acompañado a muchas personas con escoliosis en el estudio.
Porque cuando practicas Pilates de forma personalizada, desde el método clásico, con instructores que entienden la biomecánica y las patologías, tu cuerpo empieza a cambiar.
- El dolor disminuye.
- La movilidad mejora.
- Tu postura se organiza desde dentro.
- Y lo más importante: vuelves a confiar en tu movimiento.
Esto no ocurre de un día para otro, pero sí es real.
Y en Discla Pilates®, lo vemos cada semana: personas que llegan encogidas, asimétricas, desconectadas…
y con el trabajo correcto, progresivo y guiado, recuperan funcionalidad, fuerza y bienestar.
En resumen
Si tienes escoliosis y no sabes si moverte, quiero decirte que sí puedes.
Pero hazlo con cuidado, con profesionales, y desde un método que respeta y acompaña tu cuerpo.
El Pilates clásico, aplicado desde la fisioterapia y con visión postural, no solo te ayuda a moverte mejor: te ayuda a vivir mejor dentro de tu propia columna.
Y si quieres empezar sin riesgo, puedes probar esta clase gratuita para personas con escoliosis (Click aquí) que tengo publicada en mi canal de YouTube.